Cột sống là trụ cột nâng đỡ toàn bộ cơ thể, đóng vai trò then chốt trong vận động, tư thế và bảo vệ hệ thần kinh trung ương. Tuy nhiên, nhiều bệnh lý cột sống lại diễn tiến âm thầm, chỉ biểu hiện bằng những cơn đau mơ hồ ở cổ, lưng hoặc thắt lưng. Chụp X-quang cột sống, đặc biệt là X-quang toàn bộ cột sống, chính là phương pháp hình ảnh học cơ bản nhưng vô cùng quan trọng giúp bác sĩ đánh giá chính xác tình trạng sức khỏe của hệ xương sống.
I. Chụp X-quang cột sống là gì?
Chụp X-quang cột sống là kỹ thuật sử dụng tia X để ghi lại hình ảnh cấu trúc xương của cột sống, bao gồm các đốt sống cổ, ngực, thắt lưng và xương cùng. Với X-quang cột sống toàn phần, bác sĩ có thể quan sát cột sống như một chỉnh thể thống nhất, thay vì chỉ nhìn từng đoạn riêng lẻ.
Thời gian thực hiện nhanh chóng, thường chỉ mất khoảng 5–10 phút, không xâm lấn, an toàn và chi phí hợp lý, phù hợp cho cả chẩn đoán ban đầu lẫn theo dõi điều trị.

X-quang toàn bộ cột sống giúp bác sĩ đánh giá chính xác tình trạng hệ xương sống.
II. Chụp X-quang toàn bộ cột sống giúp phát hiện những vấn đề gì?
Chụp X-quang toàn bộ cột sống là phương pháp chẩn đoán hình ảnh giúp bác sĩ đánh giá tổng thể cấu trúc xương sống, từ đó phát hiện sớm nhiều bất thường và bệnh lý quan trọng. Thay vì chỉ quan sát từng đoạn riêng lẻ, kỹ thuật này cho phép nhìn cột sống như một chỉnh thể thống nhất, phản ánh đúng trục chịu lực và sự liên kết giữa các vùng cổ – ngực – thắt lưng – xương cùng.
Thông qua X-quang toàn bộ cột sống, bác sĩ có thể phát hiện sớm:
Dị tật bẩm sinh của cột sống.
Các tổn thương do chấn thương như gãy xương, trật khớp, lún xẹp đốt sống.
Các bệnh lý thoái hóa cột sống theo tuổi tác hoặc do lao động.
Các bệnh lý viêm nhiễm như viêm cột sống dính khớp, lao cột sống.
Gai xương, biến dạng thân đốt sống.
Khối u thân sống hoặc u cạnh sống ở giai đoạn sớm.
Đây là phương pháp an toàn, đơn giản, chi phí hợp lý, phù hợp để chẩn đoán ban đầu, theo dõi tiến triển bệnh hoặc đánh giá hiệu quả điều trị và sau phẫu thuật cột sống.
III. Công dụng chính của X-quang toàn bộ cột sống
1. Chẩn đoán các bệnh lý cơ bản của cột sống
Thoái hóa cột sống:
Phát hiện giảm chiều cao đĩa đệm, gai xương, hiện tượng vôi hóa, giúp đánh giá mức độ thoái hóa và nguyên nhân gây đau mạn tính.
Chấn thương cột sống:
Xác định chính xác vị trí và mức độ gãy xương, lún xẹp thân đốt sống, trượt đốt sống sau tai nạn hoặc chấn thương.
Dị tật bẩm sinh:
Kiểm tra các bất thường về cấu trúc cột sống từ khi sinh ra, hỗ trợ theo dõi và can thiệp sớm, đặc biệt ở trẻ em và thanh thiếu niên.
Viêm cột sống dính khớp:
Phát hiện tình trạng viêm, vôi hóa dây chằng, biến đổi cấu trúc đốt sống – dấu hiệu quan trọng để chẩn đoán sớm bệnh.
Lao cột sống:
Nhận biết các dấu hiệu tổn thương xương, hẹp khe đĩa đệm, phá hủy thân đốt sống do vi khuẩn lao.
U thân sống:
Hỗ trợ phát hiện ban đầu các khối u xương thân sống hoặc u cạnh sống, từ đó chỉ định các phương pháp chẩn đoán chuyên sâu hơn khi cần thiết.
2. Đánh giá mức độ và theo dõi điều trị
Đo và theo dõi độ cong vẹo cột sống (gù, vẹo) ở trẻ em và người lớn.
Theo dõi tiến triển bệnh lý cột sống theo thời gian.
Đánh giá kết quả điều trị nội khoa, chỉnh hình hoặc sau phẫu thuật cột sống.
3. Hỗ trợ chẩn đoán toàn diện
Hình ảnh X-quang toàn bộ cột sống được ghi nhận ở nhiều tư thế, nhiều góc độ, giúp bác sĩ:
Có cái nhìn tổng thể về cấu trúc xương, đĩa đệm, dây chằng.
Đánh giá trục chịu lực và sự cân bằng của cột sống.
Đưa ra chẩn đoán chính xác và lựa chọn phác đồ điều trị phù hợp.
Khi nào nên chụp X-quang cột sống?
Bạn nên thực hiện chụp X-quang cột sống khi gặp các tình trạng sau:
Đau cổ, đau lưng hoặc đau thắt lưng kéo dài, không rõ nguyên nhân.
Sau tai nạn, té ngã hoặc chấn thương vùng cột sống.
Nghi ngờ các bệnh lý cơ xương khớp như viêm khớp, loãng xương, thoái hóa cột sống.
Kiểm tra định kỳ các dị tật cột sống bẩm sinh hoặc theo dõi quá trình điều trị.


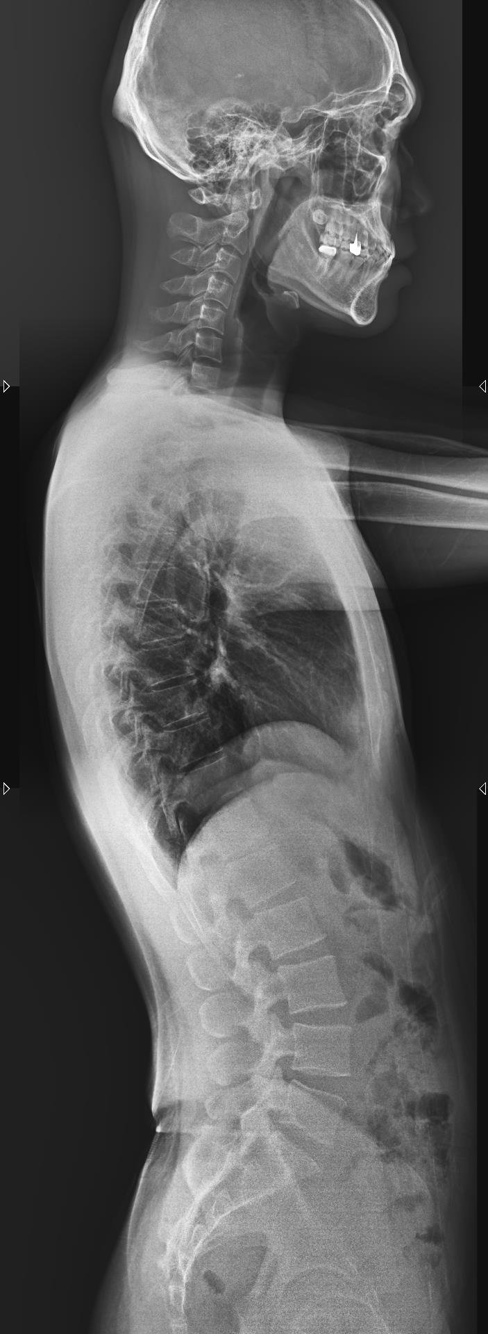
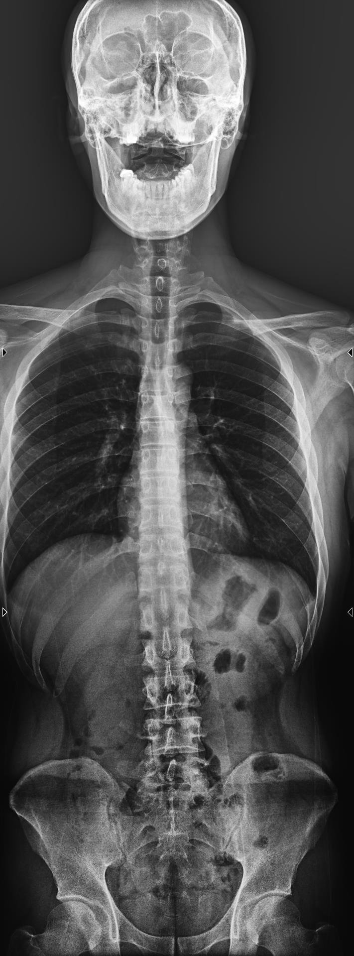
Ảnh chụp X-Quang cột sống (ảnh trên: một phần, ảnh dưới: toàn phần)
IV. Chụp X-quang cột sống tại DHA Healthcare
Tại Phòng khám Đa khoa DHA Healthcare, dịch vụ chụp X-quang cột sống được thực hiện với:
Hệ thống máy X-quang hiện đại, cho hình ảnh rõ nét, liều tia được kiểm soát an toàn.
Đội ngũ bác sĩ chuyên khoa giàu kinh nghiệm trong chẩn đoán cơ xương khớp.
Quy trình nhanh gọn, kết quả chính xác, hỗ trợ tư vấn điều trị và phục hồi chức năng toàn diện.
Chụp X-quang cột sống không chỉ giúp phát hiện bệnh, mà còn là bước quan trọng để bảo vệ tư thế, vận động và chất lượng sống lâu dài.
Đừng chờ đến khi cơn đau trở nên nghiêm trọng – hãy chủ động kiểm tra và tầm soát cột sống định kỳ.


DHA Healthcare với hệ thống máy móc hiện đại, cho hình ảnh rõ nét, tia liều được đảm bảo.
Phòng khám DHA Healthcare cung cấp dịch vụ khám chữa bệnh, tầm soát sức khỏe chuyên nghiệp, chu đáo, chuẩn xác. Mang đến cho bạn sự hài lòng, yên tâm, tiết kiệm thời gian và chi phí.
Liên hệ ngay với chúng tôi tại hotline 1900 1115 - 091 555 8810 để được tư vấn và đặt trước lịch khám nhé!
---
DHA HEALTHCARE - CHĂM SÓC NHƯ NGƯỜI THÂN
Địa chỉ: 221 – 221Bis Nguyễn Thị Minh Khai, Phường Cầu Ông Lãnh, TP. Hồ Chí Minh.
Website: https://www.dhahealthcare.vn/
Tiktok: https://www.tiktok.com/@dha_healthcare
Hotline: 1900 1115 - 091 555 8810
#DHAHealthcare #ChamSocNhuNguoiThan
Bài viết có tham khảo từ các thông tin tổng hợp trên diễn đàn về y tế